◆ Key Specifications:
• New User Experience*
• PIQE 1024*1 DLR
• 16 cm z-axis coverage
• 0.5 mm × 320 PUREViSION
• 0.275 sec rotation*
• 100 kW generator*
• 78 cm gantry bore
• +/- 30° gantry tilt
• 694 lbs couch capacity
• Up to 80 fps reconstruction speed
• 19 m2 installation space*
◆ Key Benefits:
• Wide-Area Detector CT now with Deep Learning Spectral
• One rotation to acquire a whole heart
• Stroke assessment in under 5 minutes1
• Simple and streamlined CT Fluoroscopy
◆ Featured Innovations:
• PIQE 1024*2
• AiCE
• Spectral
• CT Guided Interventions
• vHP 3-Phase
• A calming, wide-open space for a better patient experience¹
• Improved access to the patient from the front and rear of the gantry
• Safety and comfort for positioning patients at the push of a button
Features and Benefits:
Innovate with technology
The Aquilion ONE / PRISM Edition is packed with advanced innovations, including AI-assisted technologies, to increase your clinical confidence and optimize your workflow.
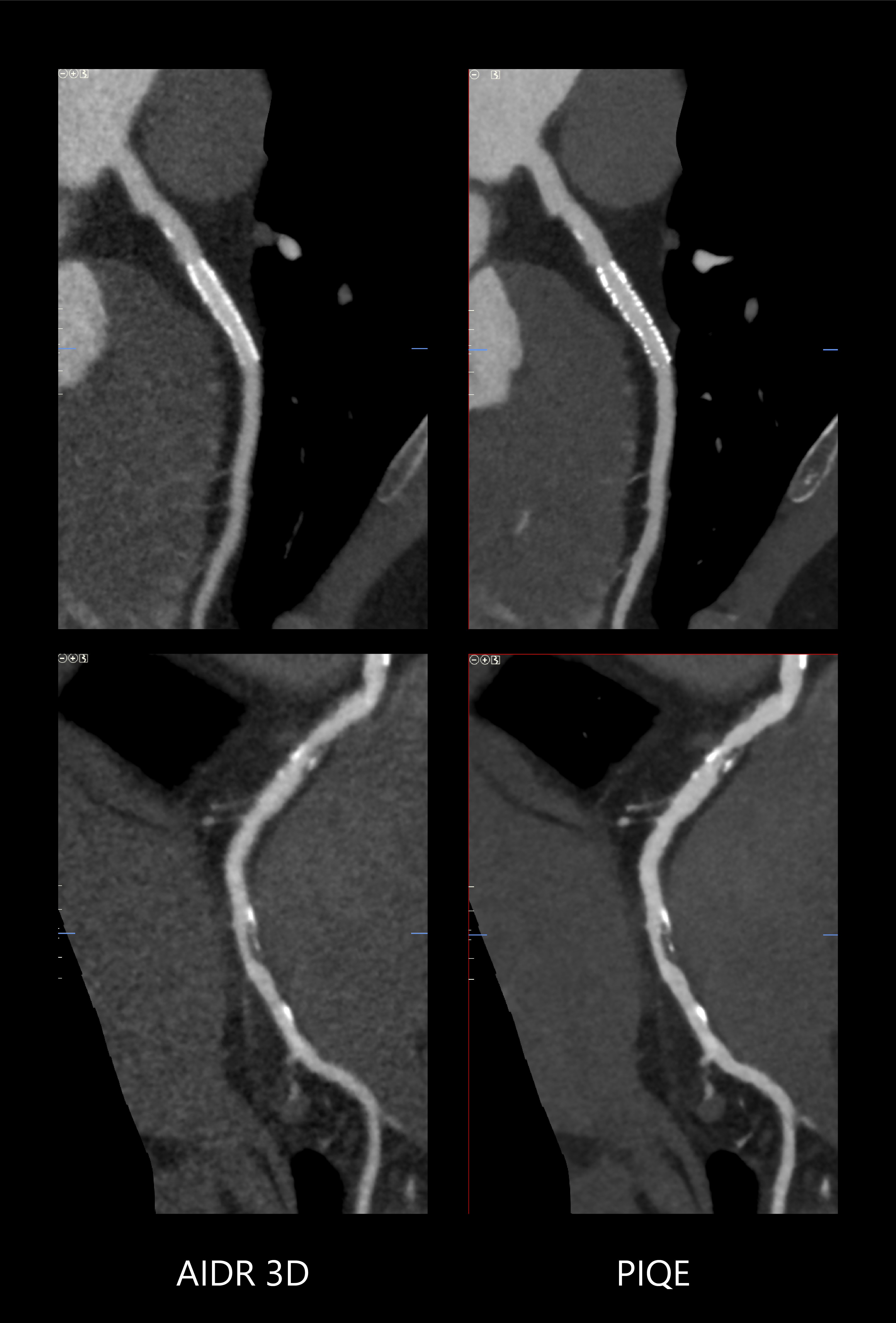
Precise IQ Engine (PIQE)
A new standard in cardiac clarity
PIQE provides improved spatial resolution and 45% reduced noise* for improved in-stent visualization with clear depiction of vessel lumen to evaluate neointimal hyperplasia and in-stent restenosis. The high contrast to noise properties of PIQE exams also provide better evaluation in heavily calcified coronary arteries with no loss of low contrast detectability* – and these benefits are provided without any additional dose.
Robust for all patients, ONE beat CTA examinations with PIQE offer:
-Sharper anatomical detail
-Reduced calcium blooming
-No additional dose
-Isophasic Uniformity
-CT lung cancer screening at dose levels approaching conventional radiography
Designed to work in combination with AiCE, SilverBeam delivers AI-enhanced, high-quality, low-noise CT lung cancer screening images at the radiation dose on the order of a typical chest X-ray exam.
SilverBeam with AiCE can be used to confidently set up a lung cancer screening service in your hospital.
Advanced intelligent Clear-IQ Engine (AiCE)
See through the noise
CT reconstruction that uses Deep Learning innovation to match the spatial resolution and low-noise properties of advanced model-based iterative reconstructions to produce high quality images without compromising on speed or dose.
-Low Noise
-Natural Image Texture*
-Sharp High Contrast Resolution
-Clear Low Contrast Detectability
-Deep Learning Spectral
A fully integrated end-to-end spectral workflow
The Aquilion ONE / PRISM Edition harnesses the temporal benefits of rapid kV switching with patient specific mA modulation and combines them with a Deep Learning Reconstruction that delivers excellent energy separation and low-noise properties.
Images can be delivered directly to your reading station, and with our range of new Vitrea™ applications, you can easily analyze comprehensive spectral data, including quantification and multi-layered images for a more detailed and definitive diagnosis.
-A single rotation is all it takes
The Aquilion ONE / PRISM Edition’s 16 cm wide area detector significantly improves your ability to obtain high-quality images consistently across patients. With just one rotation, you can acquire an entire heart, in a fraction of a second, with less dose and great z-axis uniformity.
-Neuro CT
When time is brain, every second counts
Canon Medical’s comprehensive stroke evaluation platform performs whole brain perfusion imaging and 4D digital subtraction angiography of the intracranial circulation in just one minute. Plus, with advanced 4D brain perfusion software, you can now evaluate flow and perfusion defects in under five minutes.
-Interventional CT
Simple and streamlined CT Fluoroscopy
Conduct faster, more focused interventional procedures with a new hybrid CT Fluoroscopy interface that enables one-handed operation with ergonomically designed controls and a versatile touchscreen tablet.
-Workflow efficiencies
-Easier and safer for everyone
We’ve improved the entire scan experience – for both patients and staff – with smart technology that does most of the heavy lifting for you.
-Lateral slide
Move your patient up, down, left, or right to the correct position at the touch of a button.
-Quick and convenient access
The shorter flared gantry lets you treat any patient from the front or rear of the tunnel.
-A CT exam with the ease of plain film X-ray
Bypass the usual scanogram by setting the field of view and scan range directly at the gantry.
-Designed to fit most clinical environments
At 19 m2, Aquilion ONE / PRISM Edition is one of the smallest, most space-efficient Spectral CT systems in the market.
-Scalable IT
Tailor it to your business
Our IT solutions are dynamic and scalable enough to meet a whole range of needs – whether you’re a smaller clinic or a well-established enterprise. Simply pick and choose the configurations that work for you, and even open the up to remote users, so you’re never confined to a single setting.