Features and Benefits:
-Adaptive Diagnostics
Helps eliminate variability in scanning with the industry's best solutions.
Lowering CT dose and improving workflow are not choices that clinicians should have to make, so Canon Medical Systems is putting customers first by providing the industry's best solutions to solve these challenges. To make complex exams easier, lower dose and improve diagnostic accuracy and reproducibility, Canon Medical Systems is introducing its Adaptive Diagnostics CT technology.
-Automated bone subtraction and/or iodine mapping.
SURESubtraction CT
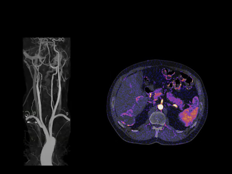
In CTA examinations Angiography SURESubtraction CT (SCT) has the ability to remove bone, calcium and stents from data sets allowing clinicians an unobstructed view of the arteries.
Moreover, SURESubtraction can create iodine mapping SURESubtraction CT (SCT) to enable the assessment of the distribution of contrast media within the body to visualize local perfusion.
SURESubtraction SCT has protocol integrated automation at every step to empower even a novice operator with the skills to perform brilliantly the first time — every time.
Prior to subtraction, Canon Medical Systems' deformable registration allows pixel matching between the pre-contrast and contrast enhanced data for precise digital subtraction and iodine mapping, saving time and improving diagnostic accuracy.
-Single Energy Metal Artifact Reduction
SEMAR
Canon Medical Systems’ SEMAR (Single Energy Metal Artifact Reduction) utilizes a sophisticated iterative reconstruction technique to reduce metallic artifact, improving visualization of implants, supporting bone and the adjacent soft tissues for a clearer and more confident diagnosis. SEMAR can be set in the scan protocol so the reconstructions are fully automatic requiring no additional operator input.
Assess the whole body in one scan
Variable Helical Pitch with three phases (vHP3)
Overall faster scan times make vHP3 compliant to the needs of the patient, and shorten exam times for trauma imaging when every second is critical.
A single series reconstruction enables several studies to be interpreted simultaneously for faster reading.
-May decrease radiation dose to the patient
-May decrease the amount of IV contrast needed
-May improve the workflow for complex clinical exams
Dual Energy
Dual Energy uses two energies during one CT scan, providing clinicians with more data to help quantify and characterize anatomy and lesions. As a result, exam times and radiation dose are both reduced.
Volume Dual Energy
Taking advantage of the wide detector array of Aquillion ONE, 2 rotations are acquired at low and high kV, mA is automatically adjusted to maintain similar noise characteristics. Projections are matched with orbital synchronization and no table movement is required.
-A safer and reproducible diagnostic study with every cardiac scan.
Helical Arrhythmia Detection
With Aquilion Prime SP's SURECardio Prospective Adaptive diagnostic scan mode, the system will begin the acquisition prospectively, and if an arrhythmia is detected, it will automatically switch to a continuous mode in order to ensure a diagnostic exam.
-Robust cardiac CT examinations - automated, adaptive and easy
Cardiac CT imaging has never been more robust than with the Aquilion Prime SP. The intelligent SURECardio engine is coded with the experience of thousands of cardiac examinations, ensuring scan and exposure parameters adapt exactly to your patients in real time.
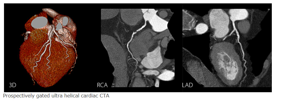
-Prospectively gated ultra helical
Combining the advantages of helical scanning with ECG narrow phase exposure, SURECardio Prospective offers excellent z-axis uniformity, short scan times, and the low-dose advantages delivered by prospective ECG scanning.
-The Canon Medical Systems advantage
SURECardio Prospective:Faster scan for reduced contrast requirements and superior temporal uniformity.
-Step & Shoot: Longer scan time and temporally misaligned segments.
-Real-time adaptive exposure
When detecting arrhythmia or an irregular heartbeat, the SURECardio engine compensates in real time by adapting the exposure window to ensure image reconstruction can provide a diagnostic examination.
-Oncology imaging
Aquilion Prime SP empowers you to detect, stage and track tumors with SURESubtraction™ iodine mapping available for every routine multi-phased liver exam.
-Aquilion Prime SP's accessible gantry design, 4D respiratory-gated acquisition capability and powerful advanced imaging applications deliver an ideal oncology solution from early detection and planning to intervention and treatment response verification.
-Enhance your productivity
From new graduates to experienced technologists, the Aquilion Prime SP's integrated workflow solutions render even the most complex of tasks easy. Through exposure control automation, vHP3 scanning and automatic image processing, Aquilion Prime SP will be a powerful part of your imaging team.
-A simple solution to position patients quickly and efficiently.
Tech-Assist Lateral Slide*
When every second counts you need imaging equipment to work for you. The Aquilion Prime SP power assisted positioning expedites the set-up of patients and reduces the heavy lifting required by the attending care team.
-8.4 cm of lateral table movement
-Assist technologist in positioning and moving patient
-Center patient in CT bore, improved mA modulation (dose) and image resolution
-Workflow that makes you perform
Protocol integrated automation at every step empowers even a novice operator with the skills to perform brilliantly the first time - every time.
-Capitalize on your investment
From installation to department expansion, the Aquilion Prime SP is the right economic choice. Designed to be more than efficient, Aquilion Prime SP checks all the boxes for a CT system capable of fast throughput, patient and technologist safety and a platform to expand any department's imaging portfolio for improved productivity.
-Increased productivity, lower costs, enhanced diagnostic performance
Aquilion Prime SP is a total solution for all your clinical demands. A full host of innovative design features ensure outstanding patient accessibility, efficient workflow and low running costs. A wide range of robust imaging applications and workflow automation features provide exceptional diagnostic precision and clinical versatility.