Your First Partner For 3D Diagnosis
YOUR FIRST PARTNER FOR 3D DIAGNOSIS,
PaX-i3D
-Optimal FOV Sizes for 3D Diagnosis
Increase your diagnosis and treatment accuracy.
Multi FOV sizes range from 5x5 to 12x9
-Special Software for each specialty
Analyze Ez3D-i images with advanced tools and functions
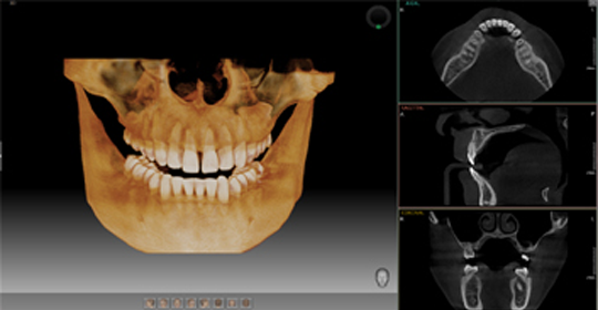
CBCT
POWERFUL DIAGNOSTIC VALUE WITH 3D IMAGES
FLEXIBLE 3D IMAGING WITH MULTI FOV SELECTION
PaX-i3D provides 4 multi FOV sizes ranging from 5x5 to 12x9.
By selecting the appropriate FOV size, you can have the optimum image for your diagnostic needs reducing unnecessary X-ray radiation for patients.
Ez3D-i supports effective and efficient communication with your patients
-Wide Range of Ceph Modes
Scan Type:LAT / Full LAT
One Shot Type:Small / Medium / Large
FOV 5X5
5X5 images are useful for specific area diagnosis with minimum X-ray exposure for patients, It can especially increase the accuracy of endodontic diagnosis by exactly checking the amount or root canals and abnormal root canal shapes such as C-shapes that are difficult to check using 2D X-ray system.
FOV 8X5
8X5 images can provide more extended oral information on maxillary or mandibular areas. An accurate treatment plan can be established by taking into account the major anatomical structures like mandibular nerve, mental foramen or maxillary sinus.
FOV 8X8
8X8 images enable comprehensive diagnosis and treatment planning including both maxillary and mandibular areas in a single scan. It is useful for complex implant surgery as well \as left or right TMJ diagnosis.
FOV 12X9
12X9 images can provide the most optimal information for oral diagnosis fully covering both maxillary and mandibular structures including the 3rd molar region in a single scan. It is suitable for most oral surgery cases as well as multiple implant surgery.
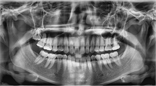
Panoramic
PROFESSIONAL DIAGNOSTIC VALUE WITH
PANORAMIC IMAGES
PaX-i3D provides the most precise and high quality panoramic image. Clear and sharp panoramic image brings you better diagnostics. Enhanced details especially in the anterior and dental roots can be viewed. These consistently high quality images will become the new standard of panoramic imaging.
MAGIC PAN
MAGIC PAN creates a more superb panorama image.
It is acquired through the elimination of distorted and blurred images caused by improper patient positioning (Optional).
-NORMAL PAN
-MAGIC PAN
Focused image is reorganized throughout the whole dental arch and the image quality can be increased.
The image becomes clearer especially in the incisor and canine region, TMJ areas and root canal.
Cephalometric
PROFESSIONAL DIAGNOSTIC VALUE WITH CEPHALOMETRIC IMAGES
PaX-i3D Provides optimal images with an exclusively designed sensor for cephalometric diagnosis.
Scan type Cephalometric
Scan type cephalometric offers two image sizes, LAT and FULL LAT, you can choose one of them based on the purposes of your diagnostic needs.
LATERAL
Provide specialized high quality images to suit orthodontics and maxillofacial surgeries.
FULL LATERAL
Full lateral gives 30% larger images and the occipital area of the patient for comprehensive diagnosis. (optional)
OneShot type Cephalometric
Three different ceph image sizes reduce unnecessary X-ray dosage and scans the ideal area of cranial anatomy for your diagnosis and treatment planning.
LATERAL
-PA
-Carpus
-SMV (Submentovertex)
PRODUCT CONFIGURATION
CEPH
CBCT PANO SCAN ONE SHOT
Pax-i3D ● ● - -
Pax-i3D SC ● ● ● -
PaX-i3D OP ● ● - ●
SPECIFICATIONS (PaX-i3D:PHT-6500)
-Function Pano + CBCT + Ceph
-CT - FOV Size(cm)
8X8:Multi [5X5 / 8X5 / 8X8]
12X9:Multi [5X5 / 8X5 / 8X8 / 12X9]
-Voxel Size
5X5, 8X5 cm : 0.12mm / 0.2mm,
8X8, 12X9 : 0.2mm / 0.3mm
-Scan Time
Pano:HD 13.5 sec (Normal 10.1 sec)
Scan Ceph:12.9 sec
One Shot Ceph:0.9 - 1.2 sec
CBCT:Standard 15 sec / High 24 sec
-Ceph FOV Size
SC
-21X23cm (8.3"X9.1") [LAT,PA,SMV,Waters View,Carpus]
-27X23cm (10.6"X9.1") [Full LAT]
OP
-20X20cm (8"X8") [LAT, PA]
-23X25cm (9"X10") [LAT, PA]
-30X25cm (12"X10") [LAT, PA, SMV, Waters View, Carpus]
-Gray Scale 14 bit
-Patient Position Standing / Wheel-Chair Accessible
-Tube Voltage/Current 50-90 kVp / 4 - 10 mA
DIMENSIONS
-Pano/CBCT
-Pano/CBCT/ScanCeph
-Pano/CBCT/OneShotCeph