Planmeca ProMax® 3D Plus is a complete 3D imaging unit. It provides an extended view of the maxillofacial region, covering even more than the dentition.
Volume sizes :
Maximum volume with a single scan
Ø20 x 10 cm
Innovative movement correction:-
Patient movement often poses a challenge to 3D image quality. Our Planmeca CALM® algorithm allows you to remove artefacts caused by movement – leading to a much sharper final image.
Advanced ENT imaging:-
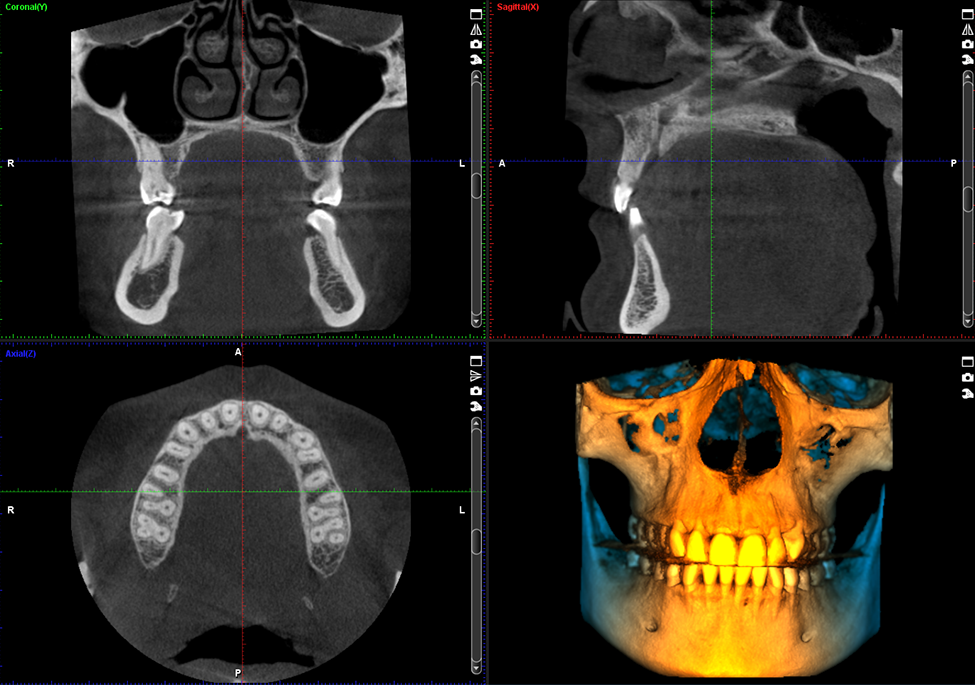
The Planmeca ProMax 3D Plus unit’s voxel sizes range from 600 to 75 μm, while the Planmeca Romexis® software offers versatile tools for visualising airways, sinuses, soft tissues and the smallest bone structures in ears.
Low dose images as standard
Our pioneering Planmeca Ultra Low Dose™ imaging protocol allows you to capture CBCT images with an even lower dose than panoramic images. The scientifically proven protocol is a standard feature in all our 3D units.
Excellent usability
Combining smooth usability and optimised patient comfort, our Planmeca ProMax 3D Plus imaging unit has been designed to offer an enjoyable and efficient treatment experience from start to finish.
Quality endodontic imaging
With a voxel size of 75 μm, our endodontic imaging mode is ideal for capturing small anatomical details. Even the most difficult treatment areas are clearly visible due to the extremely high resolution.
Multifaceted imaging
Planmeca ProMax 3D Plus is a true all-in-one unit that allows you to capture all types of images. It supports not only 3D imaging but also panoramic and cephalometric imaging – always at optimal image quality.
Quick and easy model scans
Every Planmeca ProMax® 3D imaging unit allows impressions and plaster casts to be scanned in 3D. This is done without the need for intraoral scanners. The CBCT scan creates an STL file of the surface model that can be used for treatment planning.
Comprehensive imaging software
Our Planmeca Romexis® software platform offers the most varied selection of imaging tools available in the world of dentistry today. In addition to 2D and 3D imaging, it supports the entire CAD/CAM workflow.
SCARA technology
SCARA stands for Selectively Compliant Articulated Robot Arm – our patented robot arm technology that allows our imaging units to produce precise movements without restrictions in all situations.