and optional cephalometric imaging capabilities. This multifunctional device is designed to provide comprehensive diagnostic information essential for advanced implant planning and orthodontic assessments.
Key Features:
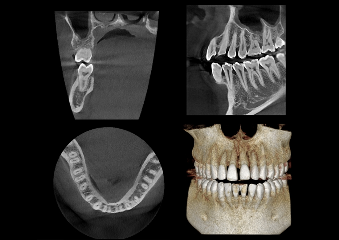
High-Resolution Imaging:Delivers clear 3D images with optimized voxel sizes ranging from 75 to 200 microns, suitable for detailed diagnostics in endodontics, periodontics, TMJ, and maxillofacial procedures.
Multi-FOV Selection:Offers 19 Field of View (FOV) options, from 4×5 cm to 16×14 cm, allowing for tailored imaging based on specific diagnostic requirements.
Rapid Scanning:Features a fast scan mode completing scans in just 7.7 seconds, minimizing patient exposure and reducing motion artifacts.
Dedicated Sensors:Equipped with three dedicated CMOS flat panel sensors for panoramic, cephalometric, and 3D imaging, ensuring long-lasting performance and eliminating the need for sensor swapping.
Smart Metal Artifact Removal (SMARF):Enhances image clarity by intelligently reducing artifacts caused by metal objects within the scan area.
User-Friendly Design:Incorporates features such as face-to-face positioning, voice support system, hand switch, emergency switch, and wheelchair accessibility to ensure patient comfort and ease of use.