๐น Screen Size:-
21.5'' full HD monitor
๐น Probes Types ( Transducers ):-
โข Linear transducer:
โข L13-3(New) , L14-6NE , L14-6WE , L9-3E
โข Phased-array transducer:
โข SP5-1s , P4-2 , P7-3 , P10-4E
โข Pencil transducer:
โข CW2s , CW5s
X-Insight is an insightful solution to envision more.
Mindrayโs brand-new solution is an excellent fusion of continuous customer insights into clinical needs, combined with continually evolving cutting-edge ultrasound technologies. Full of vitality, with the goal of insight into the future and pursuit of the infinity, it is constantly improving with increased scalability.
As an all-around partner, DC-60 ECHO with X-Insight devotes to provide a comprehensive solution to help you manage all-aspect daily clinical practice with ease and certainty.
Based on the deep insights of customer needs, the DC-60 ECHO with X-Insight is designed to deliver high efficiency with precision imaging, which is empowered by eXpress Clarity, eXceptional Intelligence and eXceeding Experience.
eXpress Clarity
More clarity at hand
-ComboWave transducers
Compared with traditional transducers, ComboWave transducers utilize a new type of composite piezoelectric material to dramatically optimize the acoustic spectrum and reduce acoustic impedance. Further integrated with Mindray unique 3T technology, the ComboWave linear transducers allow you to experience outstanding performance with extreme image resolution and uniformity in thyroid, breast, vascular, and more.
-Optimized transducers with 3T technology
Combining with Mindray unique 3T technology (Triple-matching layers, Total-cut design, Thermal control), the optimized convex, phased array and volume transducers provide a wider full range application coverage, resulting in an optimum scanning solution in ABD, Cardiology, OB/GYN and more.
-X-Engine
The new X-Engine utilize the evolutionary integration of GPU and CPU to enables multi-core parallel processing for fast imaging. With the advanced imaging engine, the imaging processing speed is accelerated three or four times faster than traditional processing, resulting in extremely fast imaging for 3D/4D and other applications.
-SDD
By the integration of Solid-State Disk (SSD), DC-60 Exp with X-Insight provides the ultra-speed data transmission capacity to accelerate the system operational speed, for instance, faster imaging, quicker boot-up or wake-up. And the SSD is able to extend the data life-time of ultrasound system, which enhances the protection of patient data with safety and privacy guarantee.
-Proven advanced application
eXceptional Intelligence
Intelligence throughout entire workflow
-Smart Track
Smart Track provides a fast and intelligent optimization for vascular imaging with simply one-touch operation. It can optimize Color, Power and PW spectrum by self-tracking and reduce time-consuming steps. Therefore the vascular exam workflow is simplified with an optimal view.
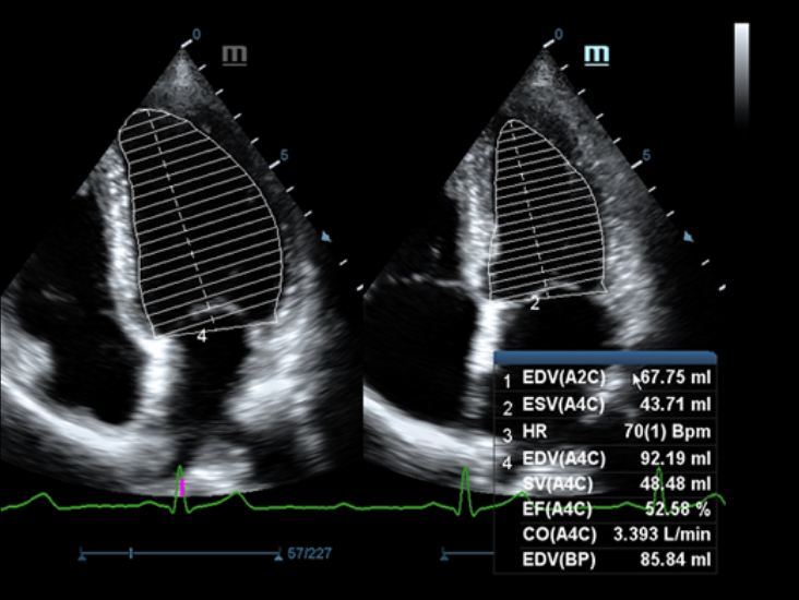
-Auto EF
Auto EF is an intelligent way to analyze 2D echo clips to automatically recognize diastole & systole frames and output a series of measurements to evaluate left ventricle function for more productivity, such as EDV/ESV/EF.
-iWorks
iWorks takes advantage of the inbuilt standard scan protocols for more consistency and reduces the exam time by up to 50%. The highly flexible and powerful feature is further enhanced with user-defined capabilities.
-eXceeding Experience
Experience with high productivity
-21.5'' full HD monitor
-Unique dual-wing floating arm (optional)
-13.3" ultra-slim touch screen with angle adjustment
-Multi-Gesture operation
-Interactive ultrasound APP - MedSight/MedTouch
-Elevating and rotating control panel